bavi se zamjenom izgubljenog prirodnog zuba umetanjem zubnog implantata unutar kosti donje ili gornje čeljusti
protetski radovi nadomještavaju jedan ili više zubi koji nedostaju, obnavljajući njihovu funkciju i estetiku.
injekcijski tretman kojim se u kožu unosi punilo (filer) za uklanjanje bora i prevenciju starenja kože
vađenje zubi i korjenova, apikotomija (uklanjanje vrška korjenova zuba), operacija oralnih cista i tumora
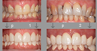
Dentalna estetika uključuje sve zahvate kojima se poboljšava pacijentov osmijeh. Često se koriste ljuskice i krunice.







